viernes, 20 de septiembre de 2013

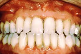
GINGIVITIS

 Gingivitis



Las causas de gingivitis incluyen:
Este sarro produce, eventualmente, toxinas que irritan y destruye el tejido de la encía  haciendo que se separen de los dientes y que se formen bolsas de infección.  Éstas van erosionando el hueso haciendo que los dientes se aflojen y, probablemente, se caigan.
  • Higiene bucal inapropiada (cepillado o pasado del hilo dental de forma incorrecta o poco frecuente)
  • Tensión emocional
  • Desequilibrios hormonales como el embarazo, la menstruación, y el cambio hormonal de la adolescencia
  • Deficiencias nutricionales
  • Enfermedades como la diabetes y la osteoporosis
  • Consumo de medicamentos como antibióticos, anticoagulantes, antihipertensivos, antiepilépticos e inmuno-depresores.

Remedios populares

Remedio para la gingivitis #1: Preparar una mezcla de partes iguales de bicarbonato de sodio y agua oxigenada y luego cepíllese bien, especialmente alrededor de la línea de las encías. El bicarbonato de sodio no sólo lava la placa dental, sino que también desodoriza y pule los dientes.
Remedio para la gingivitis #2: Enjuagar la boca con una mezcla de media cucharadita de sal en cuatro onzas o 120 mililitros de agua tibia. 
Remedio para la gingivitis #3: Frotar las encías, varias veces al día, con el gel de áloe vera o con higos cocidos en leche
Remedio para la gingivitis #4: Comer un trozo o dos de queso cheddar añejado o suizodespués de la comida
Remedio para la gingivitis #5: Comer un cuarto de manzana cruda especialmente después decomer.
Remedio para la gingivitis #6: Elaborar una infusión con una cucharadita de anís seco, unacucharadita de menta y 1 cucharadita de romero en 3/4 taza de agua hirviendo durante 10 minutos, y luego de colarlo usar el líquido como enjuague bucal cada hora.
Remedio para la gingivitis #7: Usar, como enjuague bucal, cada mañana y cada noche una cucharadita de vinagre de sidra de manzana en una taza de agua e inclusive tomar un vaso de la misma mezcla con cada comida.

Remedio para la gingivitis #8:Enjuagar la boca con una infusión a base de tres gotas de aceiteesencial de espliego y una cucharadita de miel clara, diluyendo posteriormente la solución templada en agua fría.
Remedio para la gingivitis #9:Elaborar una solución de agua caliente a la que se habránañadido dos gotas de tintura de mirra. Este antiséptico se usará antes y después de cada comida.

Remedio para la gingivitis #10: Mezclar partes iguales de bicarbonato de sodio y agua oxigenada y después hacer buches (sin tragar) con esta preparación.  El bicarbonato limpia y ayuda a mantener las encías desinflamadas.  
Remedio para la gingivitis #11: Verter un puñado de hojas de salvia en una taza de agua  que esté hirviendo. Tapar y dejar refrescar. Hacer gargaras o buches con esta infusión.  El efecto antiséptico y fungicida de la salvia aliviará las encías con gingivitis y, además, mantendrá la limpieza de los dientes.
Remedio para la gingivitis #12: Verter 2 cucharadas de tomillo en 1 taza de agua que esté hirviendo.  Tapar y dejar refrescar.  Realizar enjuagues bucales con esta infusión para combatir las bacterias causantes de la gingivitis.
Remedio para la gingivitis #13: Hervir, durante 5 minutos, 1 taza de agua que contenga 1 cucharada de equinácea.  Efectuar buches con esta infusión 3 veces al día por 2 semanas.
Remedio para la gingivitis #14: Verter 2 cucharadas de geranio en 1 taza de agua que esté hirviendo.  Tapar y dejar en infusión durante un cuarto de hora  Colar y hacer enjuagues de boca para aliviar la gingivitis.
Remedio para la gingivitis #15:  Hervir, por 5 minutos, 2 cucharadas de malva secas en una taza de agua. Pasado ese tiempo, tapar y dejar refrescar.  Hacer enjuagues con esta preparación, varias veces al día
Remedio para la gingivitis #16: Verter 1/2 taza de moras, 1/2 taza de leche descremada, 1 plátano picado y 1 cucharada de esencia de vainilla en la licuadora y batir a velocidad alta hasta obtener la consistencia deseada. Servir y beber al momento.  Las moras tienen propiedades inhibidoras de las bacterias bucales que causan la gingivitis.

Recomendaciones

Algunas recomendaciones para evitar y controlar la gingivitis:
Lavarse los dientes, con un cepillo dental de cerdas suaves, tres veces al día por tres minutos cada vez.  Es importante que el cepillo sea colocado en un ángulo de 45 grados contra las encías y los dientes, y se le hace girar en círculos. Igualmente necesario es cepillarse, también, la lengua para reducir la cantidad de bacterias y para aumentar la circulación
Usar una pasta de dientes que controle el sarro ayuda a mejorar las encías reduciendo la gingivitis.
Utilizar hilo dental encerado (es más fácil de mover entre los dientes) por lo menos dos veces al día.
Hacer buches con agua y enjuagarse la boca inmediatamente después de comer, si no tiene un cepillo de dientes a la mano.
Tratar de cepillarse en seco (o sea sin pasta dental) con poca presión mientras hace otras actividades o ve televisión.
Seguir una dieta balanceada con verduras, frutas frescas, granos integrales y evitar los azúcares, grasas y alimentos con almidón que estimulan el desarrollo de bacterias ya que hacen que las partículas de alimento se peguen a los dientes.
Programar citas dentales en forma regular para evitar y tratar la gingivitis y otras enfermedades de las encías.
Evitar fumar ya que puede reducir la circulación de la sangre hacia las encías y puede obstaculizar su curación.
Evitar respirar por la boca ya que tiende a secar las encías y aumentar el número de bacterias.
Acudir al dentista si observa lo siguiente:
  • Mal aliento persistente.
  • Tiene pus entre los dientes y las encías.
  • Su "mordida", la forma en que sus dientes encajan entre sí, ha cambiado.
  • Tiene dientes flojos o que se le están separando.
  • Sus encías sangran constantemente.
Es importante mencionar que las áreas que se encuentran alrededor de un puente que sostiene a una pieza dental artificial, reciban cuidados especiales para evitar que la gingivitis evolucione y destruya los dientes que aguantan al puente.

No hay comentarios.:

Publicar un comentario